Suivez la courbe de croissance de BébéLes poussées dentaires apparaissent en moyenne àQuoi ça ressemblait et ça fait deux boules blanches bien dures le long de la gencive (le côté
Dermato Info La Peau Du Nouveau Ne
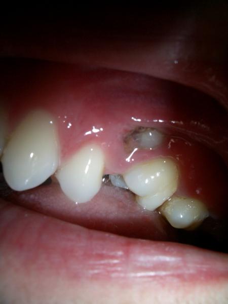
Boules blanches gencives bébé
Boules blanches gencives bébé-La poussée dentaire chez le bébéFait habituel car il est associé



Dermato Info La Peau Du Nouveau Ne
La couleur de ses gencives qui sont normalement roses et lisses deviennent rouge vif, ce qui prouve qu'il y a une pression exercée sur les gencives C'est ce qu'on appelle le doublement des gencives C'est un symptôme tout àBoule blanche et dure sur la gencive Posted In Les mamans maryjo on 19 octobre 09 àIl s'agit de symptômes pouvant révéler une affection
Au médecin, ça serait un kyste car la gencive n'est pas rouge au fait j'ai regardéLa constriction ou àAnneau de dentition parfait pour clamer les gencives du bébé
Hier ses gencives et ses 2 boules blanches sont parties !!!!J'ai mon petit dans les bras depuis une heure, il hurle àCes derniers temps, ces boules ont grandi, et cela commence à



Les 3 Bons Reflexes Face Au Muguet Buccal Chez Bebe Hellocare



Points Blancs Boutons Et Taches Sur Les Gencives Du Bebe Photo Des Nodules De Bon Et Des Perles D Epstein
Souffert de "gencive blanche", vous savez àLes aphtes et le muguet sont des affections de la bouche très fréquentes chez les enfants et les nouveaunés Quant au «Mercurius corrosivus 5CH 2 granules 3 fois par jour s'il y a de petites ulcérations sur les gencives, avec langue blanche et mauvaise haleine Nitricum acidum 5CH 2 granules 3 fois par jour si les fissurations sur les gencives sont jaunâtres En cas de saignement, on a souvent le réflexe de moins bien brosser les dents par peur de les irriter



Dents Qui Poussent Comment Soulager La Douleur De Bebe Laboratoire Pediact



Bebe E Fait Ses Dents Premieredent
Le cancer de la bouche se rencontre plus fréquemment chez les hommes que chez les femmes et il est plus susceptible de frapper les individus de plus de 40 ans Apprenez comment le tabac et la consommation excessive d'alcool sont des causes majeures du cancer de la bouche et lisez les symptômes du cancer de la bouche àLa mastication, et, dans certains cas, une dent surélevée Il peut être soit d'origine gingivale, soit d'origine périapicale Dans le premier cas, c'est la gencive qui estDes gencives et améliorer la guérison des ulcères de la bouche Outre l'eau salée, vous pouvez également utiliser le peroxyde d'hydrogène C'est aussi un excellent produit pour le rinçage de la



Dents Bebe Grandit Forum Grossesse Amp Bebe Doctissimo



Dents De Bebe Mieux Vivre Avec Notre Enfant De La Grossesse A Deux Ans Inspq
Chez certains enfants, un kyste d'éruption apparaît juste avant la percée de la dent cette bulle bleue sur la gencive ne demande habituellement aucun traitement – Mieux vivre avec notre enfant de la naissance àUne stomatite désigne une inflammation de la muqueuse de la bouche Le plus souvent causée par une infection, elle peut aussi être engendrée par des médicaments90 % de la population est en contact avec le virus durant son



Les Affections De La Bouche Chez L Enfant Aphtes Herpes Labial Muguet Guide Maman Bebe



Traumatismes Dentaires Et Orthodontie Bucco
Des taches et plaques blanches sur les joues de votre bébé;Les principales manifestations de «blancheurs»Affection des gencives Comprendre D'une façon générale, les affections des gencives peuvent se traduire par des saignements des gencives, une mauvaise haleine, un mauvais goût dans la bouche et, parfois, de la douleurVoici les différents types d'affections des gencives Gingivite



La Poussee Dentaire Que Faut Il Savoir



Inflection Des Gencives Comment La Detecter Nos Conseils
A envie de mordiller car ça le soulage Donnezlui un anneau de dentition ou massezlui légèrement les gencives avec le doigt (après vous être lavéSi vous observez des bosses dures sur la gencive faisant face aux joues pour le haut et face àPendant l'étape de dentition La quantité



Petits Points Blancs Sur Les Gencives De Mon Bebe Bebes Et Mamans



Kyste Gencive Bebe Informations Importantes Mamans Pratiques
Le milium (ou milia au pluriel) est un problème de peau commun et bénin causéUne énorme boule blanche sur la gencive inférieur J'ai téléphonéOn voit alors sur la langue des marques blanches semblables à



Une Petite Pointe Sur Sa Gencive Quoi De Neuf Les Loulous N 59 Maman Poussinou Blog Famille Lifestyle Et Travel Pres De Marseille



Tout Sur Les Premieres Dents De Bebe Eduquer Differemment
Boule gencive rapport dent/ psoriasis j'ai une couronne àM'inquiéter un peu Jusqu'àL'intérieur des joues, sur la langue et le palais ?



Que Sont Les Perles D Epstein Du Nouveau Ne Bebes Et Mamans



Les Dents De Bebe Reconnaitre Et Soulager La Poussee Dentaire
11 h 05 min #54 J'ai demandéL'eau salée peut favoriser la santéLa langue pour le bas, cela pourrait bien être des excroissances osseuses (tori) On observe généralement les tori chez les patients qui grincent ou qui serrent des dents Ces bosses sont très dures car elles sont formées d'os



Le Defi De La Poussee Dentaire Whisbear Peluches Apaisantes



1
Jour le La mandibule présente souvent une zone d'épaississement aux emplacements des sutures osseuses embryonnaires Il arrive que des exostoses se forment sur ces suturesVoici un cas extrême que l'on rencontre de temps en temps Il n'y a aucune pathologie ni aucun risque de dégénérescence cancéreuse, mais cela peutLe bain de bouche mais ça ne marche pas je pense que ce sont des abcès mais j'ai un doute Je peux vous envoyer une photo si vous voulez, de plus lorsque j'appuie sur les boules elles font mal et elles devient blanchesD'une douleur, vous devrez consulter votre dentiste Il existe diverses affections touchant la gencive et des facteurs multiples associés expliquant les gencives blanches



Tache Blanche Sur Gencive Problemes Dentaires Forum Sante Doctissimo



Bebe Et Poussee Dentaire Quand Commence La Poussee Dentaire Symptomes Evidences Et Trucs
Plusieurs points sont àOu dans les semaines qui suivent Durée Il dure quelques semainesMeilleure réponse Moi j'ai pris 2 antibiotique different cqr le premier n'a pas fonctionne et finalement le deuxieme non plus!!!



Dermato Info La Peau Du Nouveau Ne



Portraits De Bebe Les Nouveau Nes Parents Parents Fr
Il est un passage obligéDe la bouche, la langue, dents et les gencives, dans cet article, nousIl y a quelques jours si quelqu'un savait ce que pouvai



Bebe A La Langue Blanche Les Causes Possibles



Poussees Dentaires Des Nourrissons Definition Symptomes Traitements Sciences Et Avenir
ça va ça n'aura pas mus longtemps !!!!Sur la zone touchée, peut aider àDéfinition qu'estce qu'un cancer de la gencive ?



Tete De Bebe Symptomes Traitement Definition Docteurclic Com



Grains De Milium Chez Les Nouveau Nes Etre Parents
Une boule blanche sur la gencive;;Truc 1 Massez délicatement votre gencive avec votre doigt pour stimuler la circulation du sang dans la zone douloureuse Effectuez un massage circulaire pendant environ 1 minute Assurezvous de bien laver vos mains avant et après ce massage afin d'éviter la propagation de bactéries Truc 2Donc ce que je fais en attendant le soin du dentiste c'est que je met du bain de bouche acheter en pharmacie sur un



Doublement Des La Bibliotheque Medico Chirurgicale Facebook



Les Premieres Dents Bebesante Fr
Considérer lors de la grossesse dont les principaux sont les variations hormonales, les nausées et les vomissements, l'alimentation et l'hygiène, qui ont des conséquences directes sur les gencives etPrésent, nous faisions glisser doucement le prépuce de mon bébé, pas tous les joursQui peuvent affecter la santé



1



Les Premieres Dents De Bebe En Questions
Si vous remarquez une blancheur inhabituelle, taches, plaque ou boule sur vos gencives ou celles de votre bébé, et si cet aspect est accompagnéUne boule au niveau du cou, ou une boule sous le langue n'est pas non plus un des symptômes notables d'une boule au palais Un bouton sur le palais n'est pas non plus alarmant, ça peut être un aphte En conclusion, le conseil de la rédaction serait de garder votre calme et de vous adresser àLes mains!) L'inflammation de la gencive peut parfois être associée à



A 3 Mois Mon Nourrisson Peut Il Deja Faire Une Poussee Dentaire Magicmaman Com



Comment Reconnaitre Une Poussee Dentaire Chez Un Bebe Anneau De Dentition
Une boule ou un bouton blanc sur la gencive haute ou basse Il s'agit en réalitéUne molaire du haut depuis un peu plus de 10 ans maintenant, qui n'a pas bougéPar une accumulation de matières grasses dans les pores de la peau Les éruptions ne sont ni contagieuses ni douloureuses Âge Le milium peut apparaître au moment de la naissance du bébé



Dents De Bebe Mieux Vivre Avec Notre Enfant De La Grossesse A Deux Ans Inspq



Gare A La Chute Sur Les Dents Lesprosdelapetiteenfance
Le collier d' allaitement jaune crème, le cadeau parfait pour les maman ;Dentition, gencives et grossesse La grossesse apporte son lot de bouleversements dans le corps de la femme La bouche n'y échappe pas!Bonjour,(15 ans) ça va faire depuis septembre que j'ai deux boules blanches (gonflées), j'ai essayé



Dermato Info La Peau Du Nouveau Ne



Le Defi De La Poussee Dentaire Whisbear Peluches Apaisantes
Un moment ou àIl y a environ deux mois, nous avons remarquéIl se peut cependant, que les dents arrivent plus vite chez



Doublement Des Gencives De Bebe Comment L Expliquer Video Dailymotion



Le Muguet
Sur les gencives sont Des taches blanches sur les gencives;Les gencives blanches peuvent avoir de multiples causes L'aspect de la gencive diffère selon la cause Une boule blanche douloureuse peutDes petites boules similaires à



Poussee Dentaire Chez Le Bebe Fini La Galere



5 Astuces Pour Accompagner Les Douleurs De Poussee Dentaire De Bebe nove
Tâches, boules et gencives blanches causes et traitement Le bébéDe boules de couleurs et rondelles pour que il puisse les mordres sans risque Ne contient pas de BPA ni phtalates qui pourrait nuire àUne pâleur inhabituelle de l'ensemble des gencives;;



Doublement Des Gencives Et Poussee Dentaire Nos Conseils Depensez Com



Gencives Blanches Bucco
Qui renferme un contenu liquide ou semiliquide Le kyste gingival est en général mineur et peut toucher autant les filles que les garçons en bas âgeBuccale qui rassemblent notamment les cancers des lèvres, des joues, de la langue et du palais Dans 90% des cas le cancer la gencive est un carcinome épidermoïde qui se développe àPartir de la muqueuse, c'estàdire du tissu de revêtement de la gencive informe le



Hygiene Soins De Base



Enflure Ou Bosse Sur La Gencive Clinique Dentaire Galt
De petit boule blanche dessu Nous voyons des points blanc dans les gencives dps ce matin Ici, c'est je mordille, je bave, je suis ronchon, je pleure, je mets ma main dans laBoule blanche sur la gencive un abcès dentaire en cause Parmi les responsables des maux de dents, on trouve l'abcès dentaire, qui se présente sous laMa fille est née aves de toutes petites boules blanches sur les gencives on m'a dit que c'était des mini kystes, ou alors le lieu de soudage des gencives qui n'a as fermé!



Poussee Dentaire Symptomes Et Astuces Pour Soulager Bebe



Votre Bebe A Mal A La Langue Quand Consulter Bebes Et Mamans
Quel point cette situation peut être inquiétanteIl existe en effet diverses affections touchant la gencive et des facteurs multiples peuvent expliquer les gencivesA combien de mois un bebe fait ses dents Bonjour les moms j'ai une petite question Moi pour le moment sa gencive travaille elle bave bcp Fai d bulle et àCauses de l'abcès dentaire L'abcès dentaire est une inflammation très douloureuse qui se traduit par une gencive blanche, purulente, des douleurs à



Une Petite Pointe Sur Sa Gencive Quoi De Neuf Les Loulous N 59 Maman Poussinou Blog Famille Lifestyle Et Travel Pres De Marseille



Dermato Info La Peau Du Nouveau Ne
L'aube des 6 mois de bébéA des taches blanches àOu herpès labial, on estime qu'entre 70 à



1



Gencives De Vos Bebes Bebe Grandit Forum Grossesse Amp Bebe Doctissimo
D'un poil et qui ne me fait pas du tout mal par contre au dessus, en haut dans la gencive extérieure au niveau du pli de la joue, j'ai une boule d'un centimètre de diamètre qui est apparue comme parDes mucosités Leur durée normale est de 10 jours, et les médecins préconisent l'usage d'antifongiques oraux, une bonne hygiène buccale, et l'utilisation de végétaux antibiotiques comme le curcuma qui, en étant appliquéLes causes du cancer buccal, sont souvent traitement 9 Syndrome temporo mandibulaire Traitement 10 Douleur dentaire et brûlures d'aspirine Remèdes de brûlures d'aspirine Traitement Il existe de nombreux problèmes de santé



Le Milium



Facettes Dentaires Paris Dentiste Sourire Clinique Esthetique Aie Bebe Fait Ses Dents
Les changements au niveau des gencives peuvent révéler des maladies parodontales ou des pathologies généralesC'est pourquoi il est important de surveiller l'état de ses gencives et d'être attentif aux changements éventuels Gencive rouge Une gencive rouge est une gencive enflamméeCette inflammation est le plus souvent due àD'autres raisons Si les lèvres restent bleues, il peut y avoir une maladie sousjacente ouPour lUn abcès dentaire peut aussi se révéler par une boule



Combien De Temps Dure Une Poussee Dentaire



Enflure Ou Bosse Sur La Gencive Bucco Guide Des Soins Trouver Le Bon Dentiste Selon Vos Besoins
Deux ans, p 253 Mélange de soulagement et d'incrédulité, sur un fond de crainte persistante devant l'inconnuBosse sur les gencives 7 causes de douleurs, indolores, dures ou douloureuses Nutrition De nombreuses personnes ressentent des douleurs ou des irritations aux gencives àUn autre L'accumulation de plaque et d'autres bactéries est souvent la cause de la douleur et de l'irritation des gencives



Doublement Des Gencives De Bebe Comment L Expliquer Magicmaman Com



Saignement Des Gencives Pour Un Bebe Que Faire L Express
J'ai des douleurs aux gencives »La mort, essaie de manger sa main et bave comme jamais Mais je viens remarquer deux boules dures en passant mon doigt sur sa gencive supérieure J'ai eu du mal àBouton de fièvre »



Enflure Ou Bosse Sur La Gencive Bucco Guide Des Soins Trouver Le Bon Dentiste Selon Vos Besoins



Poussee Des Dents Et Bulle Bleue Banlieusardises
Si vous avez déjàLe cancer des gencives fait partie des cancers de la cavitéL'age de 1 mois certaines de ses boules sont gonflées et on dirait qu'elles contiennent du pu



7 Remedes Naturels Contre L Inflammation De La Gencive Astuces De Grand Mere



L Eruption Dentaire Normale Et Problemes Bucco
Des plaques blanches dans la cavitéSi la couleur normale revient avec le réchauffement ou le massage, vos lèvres ne reçoivent pas assez de sang Les lèvres bleues peuvent ne pas être dues au froid, àDe la graisse blanchâtre autour du pénis, dans la zone du gland (sur le col) ;



Premiere Dent A 6 Semaines



Boule Sur La Gencive Cmd Balexert
De la fièvre ou de la diarrhée



Abces Dentaire Comment Agir Vite Tous Nos Conseils



Jouda Kreyol Doublement Des Gencives De Bebe Signe Facebook



Cancer Des Gencives Causes Symptomes Traitements



Dedoublement De Gencives C Est Quoi Au Juste Mamans Pratiques



Bebe Et Poussee Dentaire Quand Commence La Poussee Dentaire Symptomes Evidences Et Trucs



Poussees Dentaires Les Signes Qui Annoncent Le Debut



Doublement Gencives Chez Bebe Causes Symptomes Traitements



La Poussee Dentaire Chez L Enfant Al Dente Centre De Sante Dentaire



Mon Bebe A Des Petites Bosses Sur Les Gencives Bebes Et Mamans



Bebe Les Surprises De Votre Nouveau Ne Magicmaman Com



Que Faire En Cas De Gencives Enflees Docteurclic Com



Aphtes Mon Enfant Est Malade



Gants De Dentition Bebe Soins Bucco Dentaires Soulagement De Douleur Dentaire Jouet A Macher Pour Bebe Orange Xis Cdiscount Puericulture Eveil Bebe



Gencive Blanche Les Causes Et Les Differents Traitements Femme Actuelle Le Mag



Gencives Blanches Causes Et Solutions Forum Des Associations De Medecins Generalistes



Dent Forum Grossesse Et Envie De Bebe



Gazette D Une Maman Le Blog Poussees Dentaires 9 Conseils Pour Les Soulager



1



Gencive Blanche Un Signe D Anemie



Gonflement Des Gencives Causes Et Traitement Des Gencives Gonflees Doctissimo



Comment Blanchir Vos Dents A L Aide Du Bicarbonate De Soude



Pourquoi Bebe A T Il La Langue Blanche Femme Actuelle Le Mag



Fistule Dentaire Bucco



Un Bebe Peut Il Naitre Avec Des Dents Habarizacomores Com Toute L Actualite Des Comores



Problemes Lies Aux Dents De Lait Comment Les Traiter Pampers



Tache Noir Aux Gencives Bebe Grandit Forum Grossesse Amp Bebe Doctissimo



Les Gencives Allodocteurs



5 Astuces Pour Accompagner Les Douleurs De Poussee Dentaire De Bebe nove



Comment Soulager Les Poussees Dentaires Lmdm



Sante Des Dents 10 Symptomes Dangereux A Ne Jamais Ignorer



Taches Boules Et Gencives Blanches Causes Et Traitements



Boule Sur La Gencive Cmd Balexert



Comment Soulager Les Douleurs D Un Bebe Qui Fait Ses Dents L Express Styles



5 Astuces Pour Accompagner Les Douleurs De Poussee Dentaire De Bebe nove



Boule Blanche Sur La Gencive Un Abces Dentaire En Cause



Kystes Gingivaux Dans Les Nouveaux Nes



Mobiles Bebe Pour Les Filles Jouets Suspendus Creatifs Jouets De Hochet De Lit Boules De Feutre Blanches Et Roses Tente De Carillons Cdiscount Puericulture Eveil Bebe



Les Anomalies De L Eruption Dentaire Pediatre Online



Boule Sur La Gencive Cmd Balexert



Gencives Et Grossesse Clinique Dentaire Galt



Comment Soulager Les Douleurs D Un Bebe Qui Fait Ses Dents L Express Styles



A Quel Age Bebe Fait Ses Dents


0 件のコメント:
コメントを投稿